Tratamientos dentales efectivos contra el sarro acumulado y medicinas recomendadas
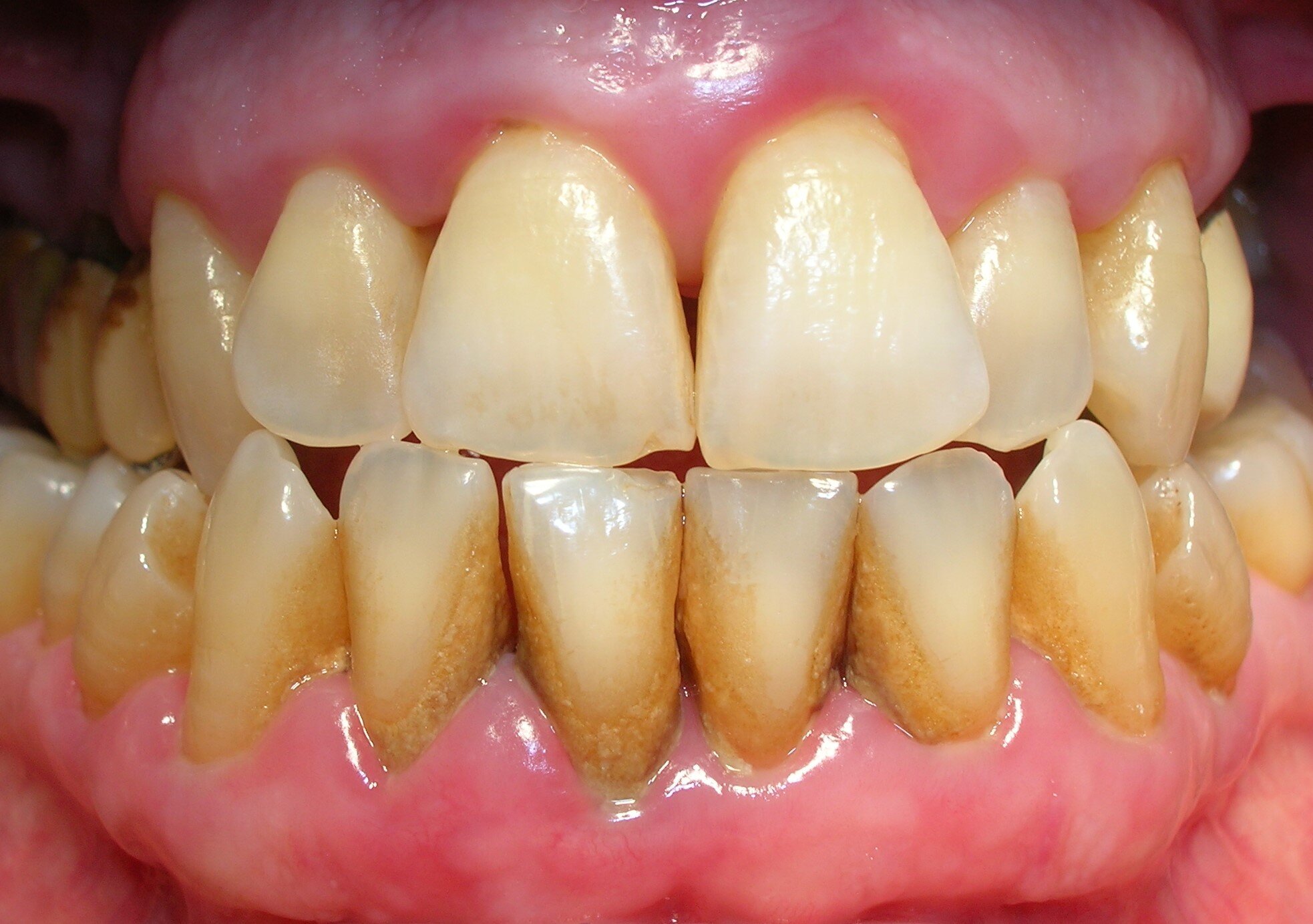
El sarro, esa placa bacteriana endurecida y calcificada que se adhiere a nuestros dientes, es un enemigo silencioso de la salud bucal. No solo afecta la estética de nuestra sonrisa, sino que también puede provocar graves problemas como gingivitis, periodontitis e incluso la pérdida de dientes. En este artículo, exploraremos los tratamientos dentales más efectivos para combatir el sarro acumulado y algunas medicinas recomendadas para complementar el tratamiento profesional y mantener una higiene bucal óptima.
¿Qué es el Sarro y por qué es Perjudicial?

El sarro, también conocido como cálculo dental, es la placa bacteriana que se ha mineralizado y endurecido sobre la superficie de los dientes. Su áspera textura facilita la acumulación de más placa, creando un círculo vicioso que puede llevar a:
- Inflamación de las encías (gingivitis)
- Retracción de las encías
- Formación de bolsas periodontales
- Pérdida de hueso alrededor de los dientes (periodontitis)
- Mal aliento (halitosis)
- Manchas en los dientes
Es crucial recordar que el sarro no puede eliminarse únicamente con el cepillado dental en casa, sino que requiere la intervención de un profesional.
Tratamientos Dentales Profesionales para Eliminar el Sarro
Estos son los tratamientos más comunes y efectivos realizados por higienistas dentales y dentistas:
Raspado y Alisado Radicular (RAR)
También conocido como «limpieza profunda», este procedimiento elimina el sarro y la placa tanto por encima como por debajo de la línea de las encías. Se utiliza instrumental especializado, como curetas y ultrasonido, para raspar el sarro y alisar la superficie de las raíces dentales, lo que dificulta la nueva acumulación de placa.
Guía Paso a Paso del RAR:
- El dentista evalúa la extensión del sarro y la salud de las encías.
- Se administra anestesia local para minimizar las molestias.
- Se utiliza una cureta o un raspador ultrasónico para remover el sarro.
- Se alisa la superficie de la raíz para evitar que la placa se adhiera fácilmente.
- Se puede aplicar un antiséptico en las encías para reducir la inflamación.
Profilaxis Dental (Limpieza Dental Profesional)
Es un procedimiento de limpieza regular que elimina la placa y el sarro superficial de los dientes. Es una medida preventiva fundamental y se recomienda realizarla cada 6 meses.
Pulido Dental
Después del raspado o la profilaxis, se realiza un pulido dental con una pasta especial para suavizar la superficie de los dientes y eliminar manchas superficiales.
Medicinas Recomendadas (Complementarias al Tratamiento Profesional)

Si bien los tratamientos profesionales son esenciales para eliminar el sarro, algunas medicinas pueden ayudar a prevenir su formación y a mantener una buena salud bucal:
- Enjuagues bucales con clorhexidina: Un antiséptico potente que ayuda a reducir la placa bacteriana y prevenir la gingivitis. Se usa generalmente por un corto período de tiempo debido a que puede manchar los dientes.
- Enjuagues bucales con fluoruro: Fortalecen el esmalte dental y ayudan a prevenir la caries, que puede ser más común en áreas donde el sarro ha dañado el diente.
- Pastas de dientes con flúor y agentes anti-sarro: Ayudan a prevenir la formación de sarro y a fortalecer el esmalte. Busca ingredientes como el pirofosfato de sodio o el citrato de zinc.
- Suplementos de vitamina D: La vitamina D es importante para la salud ósea y también puede influir en la salud de las encías. Consulta a tu médico antes de tomar cualquier suplemento.
Tabla Comparativa de Tratamientos y Medicamentos
| Tratamiento/Medicamento | Objetivo Principal | Beneficios | Consideraciones |
|---|---|---|---|
| Raspado y Alisado Radicular | Eliminar sarro profundo | Elimina sarro bajo las encías, previene periodontitis | Puede requerir anestesia local |
| Profilaxis Dental | Eliminar sarro superficial | Previene gingivitis, refresca el aliento | Debe realizarse regularmente |
| Pulido Dental | Suavizar la superficie del diente | Elimina manchas, dificulta la adhesión de placa | Se realiza después de raspado/profilaxis |
| Enjuague bucal con Clorhexidina | Reducir la placa bacteriana | Potente antiséptico, combate gingivitis | Uso limitado, puede manchar los dientes |
| Enjuague bucal con Fluoruro | Fortalecer el esmalte | Previene caries, fortalece los dientes | Usar según indicaciones del dentista |
| Pasta dental con flúor | Prevención de caries | Fortalece esmalte, previene las caries | Usar 2 veces al dia |
| Pasta dental Anti-sarro | Previene la acumulación de sarro | Menos acumulación de placa y sarro | Usar 2 veces al día |
| Hilo Dental | Limpiar entre los dientes | Elimina la placa bacteriana y restos de alimentos | Usar diariamente |
| Irrigador Bucal | Limpieza de difícil acceso | Elimina la placa bacteriana | Usar después del cepillado |
| Suplementos de vitamina D | Fortalece huesos y dientes | Influye en la salud de las encías | Consultar al medico |
«La mejor manera de prevenir el sarro es mantener una buena higiene bucal y visitar al dentista regularmente.» – Asociación Dental Americana
Conclusión

La acumulación de sarro es un problema común, pero con una buena higiene bucal, visitas regulares al dentista y el uso de tratamientos y medicinas complementarias, se puede prevenir y controlar eficazmente. No subestimes la importancia de la salud bucal, ya que está directamente relacionada con tu salud general. Consulta a tu dentista para obtener un plan de tratamiento personalizado y mantener una sonrisa saludable por muchos años.
Mira tambien:
Medicamentos más usados en cirugía oral y maxilofacial y cuidados posteriores esenciales
Tratamiento dental integral para pacientes con enfermedades sistémicas y medicinas necesarias
Medicinas para reducir dolor tras colocación de prótesis dentales y cuidados de recuperación
Tratamientos dentales con odontología preventiva y medicinas más utilizadas por especialistas





